📑 목차
“크론병 초기증상 궁금하셨죠?”
크론병 초기증상에 대해 제대로 모르고 지나치면, 최대 수백만 원 이상 손해를 볼 수 있다는 사실, 알고 계셨나요?
누구나 간단하게 확인할 수 있는 방법이 있으니 지금 이 글을 끝까지 읽고 꼭 챙겨보시길 바랍니다.


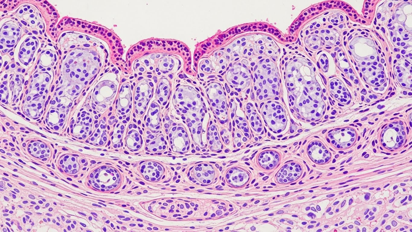
크론병은 입에서 항문까지 소화기관 어디든 염증이 생길 수 있는 만성 염증성 장 질환입니다. 초기에는 단순 장염이나 과민성 대장 증후군으로 오해하기 쉬워 주의가 필요합니다.
🚨 주요 의심 증상
- 지속적인 복통과 설사: 배가 쥐어짜듯 아프고 묽은 변을 자주 봅니다.
- 체중 감소: 입맛이 떨어지고 이유 없이 살이 빠집니다.
- 전신 피로와 미열: 쉬어도 피곤하고 으슬으슬한 미열이 동반됩니다.
- 혈변 및 항문 통증: 변에 피가 섞이거나 치루 같은 항문 질환이 생길 수 있습니다.
가장 중요한 차이점은 **‘기간’**입니다. 일반적인 배탈과 달리 약을 먹어도 호전되지 않고 증상이 4주 이상 지속된다면 반드시 병원을 찾아 정밀 검사를 받아야 합니다. 특히 10~20대 젊은 층에서 발병이 늘고 있으니, 몸이 보내는 신호를 가볍게 넘기지 마세요!
크론병 초기증상이란 무엇인가요?
많은 분들이 단순한 위장병으로 오해하고 병원을 찾지 않아 진단이 늦어지곤 해요.
하지만 누구나 간단히 진료 및 검사를 통해 확인할 수 있습니다.



크론병 초기증상 확인 방법
아래 버튼을 누르면 전국 병·의원의 소화기 내과 및 대장내시경 진료 예약이 가능한 플랫폼으로 연결됩니다.
간단한 본인 인증만 있으면 무료 진료 예약이 가능합니다.



크론병 초기증상을 꼭 알아야 하는 이유
왜 지금 확인해야 할까요?
- 복통, 설사, 체중 감소는 흔한 증상이라 지나치기 쉽습니다
- 조기 진단 시 치료가 수월하고 합병증을 예방할 수 있습니다
- 진단이 늦어지면 장 절제 수술까지 필요할 수 있어 의료비 부담이 큽니다



자주 묻는 질문 (FAQ)
Q. 크론병 초기증상, 누구나 나타날 수 있나요?
A. 유전적 요인과 환경적 요인이 복합적으로 작용하여 누구에게나 발병할 수 있습니다.
Q. 꼭 대장내시경을 받아야 하나요?
A. 크론병은 조직검사와 내시경을 통해서만 정확한 진단이 가능하므로 필수입니다.
Q. 치료하면 완치가 되나요?<
완치는 어렵지만 조기 치료와 관리로 증상 완화와 합병증 예방이 가능합니다.